Closing a Front Tooth Gap with Conservative Composite Bonding

Procedure(s):

Composite Bonding on Front Teeth (#8-9)

Description:

Bree had braces as a teenager, but over the years, the gap between her two front teeth gradually reopened and became more noticeable. Wanting a conservative solution to close the space without additional orthodontic treatment, she came to Dr. Lane for help.

Using composite bonding, Dr. Lane skillfully matched the shade of Bree’s natural teeth and artistically contoured the composite material to seamlessly close the gap. The result is a balanced, natural-looking smile that Bree loves showing off.

A simple, minimally invasive treatment with a big impact—and one very happy patient!

View Other Procedures:

actual patient composite bonding before actual patient composite bonding after

Procedure Gallery

Dr. Lane portrait

Dr. James ‘Jim Ed’ Lane

From an early age, Dr. Lane knew he wanted to work in the health field. Inspired by his dad, who was a vet, and his mom, who was a nurse and great caretaker, he appreciated the value of helping people in a career path. He also enjoyed going to the dentist and orthodontist growing up, and they always seemed happy with their career choice. As he narrowed his own career options, dentistry just seemed to be the best fit for him.

Next Procedure

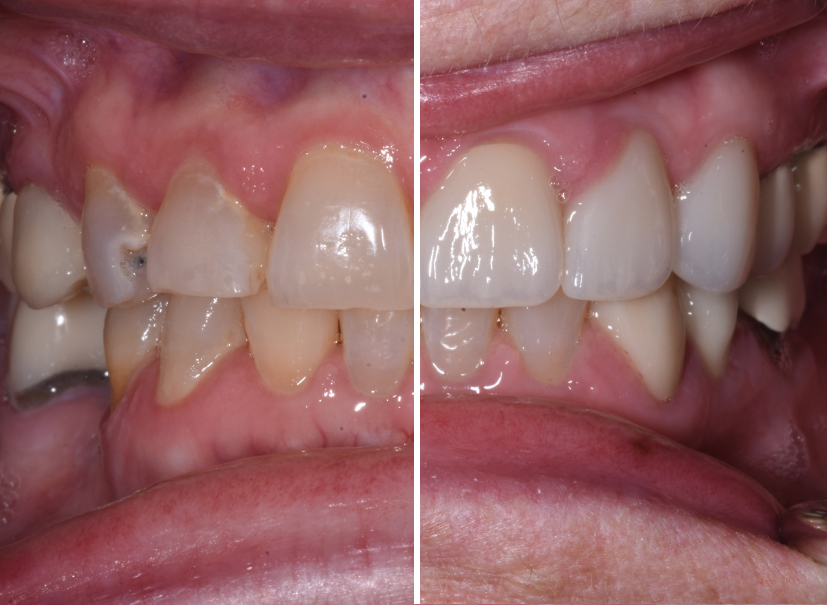
Restoring Confidence After Cavities on Front Teeth

This patient came to our office after noticing a visible cavity on her front right canine and feeling concerned that other dental issues might be present. With a restricted diet, chronic dry mouth, and frequent soda consumption, she suspected her oral health had been affected over time. Upon examination, we discovered several cavities on her…